心臓の検査って何をするの? 心雑音がある子の検査について
心雑音とは?
心雑音とは、聴診した際に聴こえる異常な音で、血流が乱れることなどにより発生します。
正常な心音はⅠ音とⅡ音で構成されており、Ⅰ音は「僧帽弁と三尖弁」、Ⅱ音は「大動脈弁と肺動脈弁」が閉鎖する際に発生する音です。いわゆる「ドッ」「クン」という音です。
弁の異常・血管の狭窄・先天的な心臓の異常などがあると、「ドッ」「クン」ではなくなり様々なタイプの雑音が聴こえます。

心雑音は
- 音の強さ(Levine分類で1~6段階評価)
- 最強点(雑音が強く聞こえる部位)
- 雑音の性状
により細かく分類されます。
最強点や雑音の性状によって、原因をある程度予測することが可能になります。
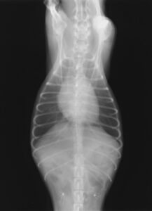
レントゲン検査
レントゲン検査では
- 心臓の大きさ
- 肺の状態
- 血管・気管・気管支の状態
の評価を行います。
後述するACVIMのステージ分類の際にもレントゲン検査による心臓のサイズの確認は重要となります。

肺水腫あり

治療後
レントゲン検査は数分で実施可能です。最低2方向以上撮影を行い評価します。
呼吸の状態が悪い子などは酸素をかがせながら行ったり、うつ伏せのみの撮影にしたりする場合もあります。
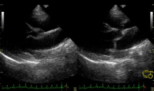
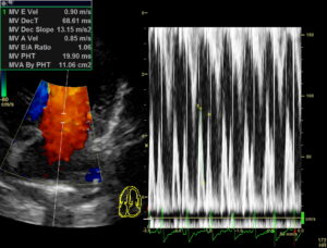
エコー(超音波)検査
エコー検査では様々な評価を行います。
雑音が聴こえる原因を探したり、重症度を評価したりします。



エコー検査はおよそ15分~30分で完了します。初めての検査の際は時間がかかる事もあるため、お昼の時間にお預かりして検査させていただきます。検査には特に麻酔などは必要ありません。
僧帽弁閉鎖不全症の治療開始の目安となるACVIMのステージ分類(A~Dまで)はレントゲン検査とエコー検査を組み合わせて評価します。
現在は、Stage B-2から治療を開始することが一般的となっています。
その他の検査
心電図検査
主に不整脈や調律異常を診断するための検査ですが、僧帽弁閉鎖不全症や肥大型心筋症では不整脈が引き起こされることが分かっているため適期的に行うことが推奨されています。

心臓バイオマーカー
心筋障害や心不負荷の上昇時に反応する物質を測定することによって心臓の状態を把握することができる検査です。
血液にて検査が可能です。
バイオマーカーは診断を補助するものであるため、異常値が出た場合は心エコー検査などを実施します。

その他
心雑音は無害性のこともあります。
雑音が聴こえたからと言って、必ずしも薬をすぐに始めないといけないわけではありません。
原因およびステージの分類を行うことが重要です。
犬の雑音で一番多い「僧帽弁閉鎖不全症」について過去に記事をあげていますのでよければご覧になってください。


















