胆嚢(たんのう)とは?
肝臓で作られる消化液(胆汁)を蓄え濃縮している袋状の臓器で、食事を摂取すると十二指腸へと消化液を送り出す働きをしています。

緑色の部分が胆嚢
胆嚢の病気
主な胆嚢の病気としては
- 胆嚢炎・胆管炎
- 胆石症(胆泥症)
- 胆嚢粘液嚢腫(Mucocele)
- 胆管閉塞
- 腫瘍
- 胆嚢欠損症
などがあげられます
診断
血液検査・レントゲン検査・エコー検査によって診断を行います。
中でもエコー検査は重要で、胆嚢内部の状況を確認するために必須の検査になります。

実際の症例
症状は、慢性的な消化器症状(嘔吐や下痢)や食欲の低下です。
血液検査にて肝酵素の上昇や、エコーにおいて胆泥貯留が認められ胆嚢粘液嚢腫・胆嚢炎の疑いがあったため手術を行いました。

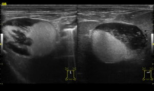
中央に見えているのが胆嚢です

摘出後の様子

脾臓にも病変が認められたため摘出
検査結果
胆嚢:慢性胆嚢炎および軽度胆嚢粘液嚢腫
脾臓:結節性過形成
胆嚢の一部が出血により消失しており、内容物が腹腔内へ漏出する可能性が高い状態でした。
今回は未然に防ぐことができ、術後の経過も大きく問題はありませんでした。
胆嚢破裂などを起こすと、腹膜炎を生じ命の危険性が高まります。
緊急手術を行っても助からない場合があるので、早期発見が大切です。
症状が出にくい臓器のため、健康診断にてエコー検査などの画像検査も定期的に行いましょう。
葉山一色ペットクリニック










