少なくとも3週間以上消化器症状(下痢や嘔吐)が持続することを「慢性腸症」といいます。
慢性腸症にはさまざまな原因があります
慢性腸症の原因
消化器以外の原因
・慢性腎臓病
・甲状腺機能亢進症
・膵臓疾患
・肝胆道系疾患
・腫瘍(全身性)など
消化管が原発
・リンパ球形質細胞性腸炎(LPE)
・低悪性度腸管リンパ腫(LGITL)など
食事反応性腸症
慢性腸症の主な症状
・体重減少
慢性腸症の80~90%の症例で認められる
数週間かけて徐々に減少することがおおい
・嘔吐・下痢・食欲不振
嘔吐が70~80%
下痢が50~65%
食欲不振が60~70% で認められる
・腹水の貯留
まれに少量の腹水が認められることがある
検査
- 糞便検査
寄生虫性疾患の除外
- 血液検査
多くの場合は異常が認められないが、低アルブミン血症や低コバラミン血症が認められることがある
膵外分泌不全や甲状腺機能亢進症の除外診断を実施
- 食事試験
食物アレルギーや食物不耐症を除外するため食事の変更を実施
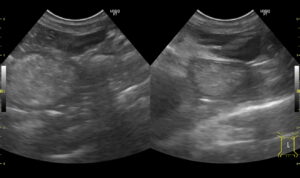
- 画像検査
レントゲンやエコー検査を実施
消化管の肥厚や消化管リンパ節の腫大を認めることが多い

エコーにてリンパ節の腫大を認める

- 病理組織学的検査

治療
たまたま同じタイミングで病理組織学的検査を3件行ったところ、3件とも「低悪性度リンパ腫」という診断が下ったため治療を開始しました。
治療は主にクロラムブシルとステロイドを用いて治療します。
クロラムブシルは免疫抑制剤としても使用するお薬なのですが、残念ながら日本国内では入手できないため海外から輸入して使用します。
治療の反応をみながらステロイドを徐々に減らしていき、クロラムブシルのみでのコントロールを目指します。
クロラムブシルの副作用は少ないですが、骨髄抑制などを起こすことがあるため定期的な血液検査などが必要です。
また、血液検査で低コバラミン血症が認められる場合は、コバラミンの注射が必要となります。
治療に対する反応は様々ですが、症状も消え体重も元に戻り良好に維持できている子もいます。
予後
低悪性度リンパ腫の生存期間中央値は1.5~3年と報告されています。
クロラムブシルとステロイドによる治療による寛解率は56~96%、寛解期間中央値は505~897日といわれています。
また、長期間の治療中に約10%の症例において高悪性度リンパ腫の発症が報告されているため、注意が必要です。










